Working Time
- Mon-Thu 10:00 AM - 06:00 PM
Friday 10:00 AM - 06:00 PM
Friday 10:00 AM - 06:00 PM
Contact Info
-
Phone: 9620620703
9845482111
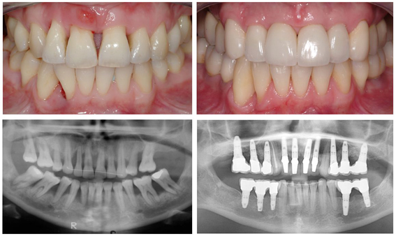
Gum Treatments
Gum disease is an infection of the tissues that surround and support your teeth. It is a major cause of tooth loss in adults. Because gum disease is usually painless, you may not know you have it. Also referred to as periodontal disease, gum disease is caused by plaque, the sticky film of bacteria that is constantly forming on our teeth.
